Excruciating Shoulder Pain
One night in the middle of July I woke up at 2:30am in excruciating pain in my right shoulder. I couldn’t get comfortable and soon began to realize that the pain was so severe that I felt nauseous and even about to pass out. I woke my husband and told him that I needed to go to the emergency room to rule out a possible cardiac issue. The ER took x-rays and did an EKG only to comment that I had minor calcification in my right shoulder, but nothing that would cause this much pain. I was told that my symptoms were consistent with rotator cuff and if the pain didn’t subside in 5 days it was recommended that I order an MRI. I was prescribed a high dose Motrin and Oxycodone.
Two days later, I was fortunate enough to get an appointment with an orthopedic group. The physician took a look at my x-ray and said that I had a rather large calcium deposit (as opposed to the minor calcification the ER discovered). He assured me it was not a rotator cuff issue. He urged me to stay on my medications especially Motrin because I needed to reduce the inflammation and he also gave me a script for physical therapy (two to three times per week for the next four weeks).
In the meantime, I already had a scheduled appointment with you, Helen, for the next morning. I remember emailing you the night before and saying that I didn’t want to waste an appointment and for you to give it someone else because I was in too, much pain to drive to your office. Thankfully, you made me come see you because you already knew (even without seeing me yet) what was wrong. You told me that I was out of alignment. Now, I have always been in agreement with many things you have told me, but this time, I was a little skeptical. Two different physicians had already told me they found calcium deposits, how could a misaligned shoulder be the problem? My trust in you told me to keep my appointment and so my husband drove me to your office the very next morning. It hadn’t even been 24 hours since I saw the orthopedic group.
When I arrived, you so very calmly and confidently knew what to do. I was only able to move my arm one inch away from the side of my body. Not only did you do acupuncture, but you used a variety of other treatments. By the time I left, I was able to raise my arm with very little to no discomfort. It would have taken weeks of painful therapy to get this stage. My husband said that I made a believer out of him.
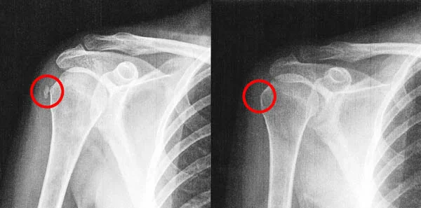
I kept my four week follow-up appointment with the orthopedic group so that I could let them know how well I had progressed. I confessed to him that I stopped all medications the day after I saw him and that I never went to physical therapy. I explained that it was not due to me trying to be a bad patient, but only because I didn’t have painful symptoms any longer. The physician was happy that I had such great success and it didn’t matter to him how I did it as long as it worked. But, before I left, I asked him if we could do an x-ray to see what became of the calcification. He assured me that it would still be there. He warned against radiating me if he didn’t have to, but I asked for just one view and he agreed. When he showed me the x-ray he was speechless, he couldn’t believe that the calcium deposit on my initial x-ray had melted away.
Thank you Helen, you are a true healer!
-Carmela P.
UPDATE: Carmela provided the office with the famous X-rays that stumped her orthopedic physician!
